الطربوش أو التاج هو من أهم التركيبات المُستخدمة في عالم طب الاسنان، وطربوش اسنان له العديد من الفوائد والمميزات الهامة، ولكن مثله مثل أي إجراء آخر، فإن البعض يتساءل عن عيوب طربوش الاسنان التي من الممكن أن تحدث بعد تركيبه، وهل تلك العيوب من الممكن التعامل معها أم لا؟ ما هي اسباب وجع الضرس تحت…
تركيب فينير الاسنان اختيار مثالي للحصول على ابتسامة أكثر إشراقًا تخلو تمامًا من العيوب، فإن كنت تشكو من مشاكل الأسنان المتعلقة بالمظهر كاللون الأصفر أو من عدم انتظام أسنانك في شكلها وحجمها، حينها تكون تركيبات الفينير حلاً مثاليًا لتصحيح تلك المشاكل. في هذا المقال نقدم لك المعلومات الكاملة حول كل ما يتعلق بـ فينير للاسنان.…
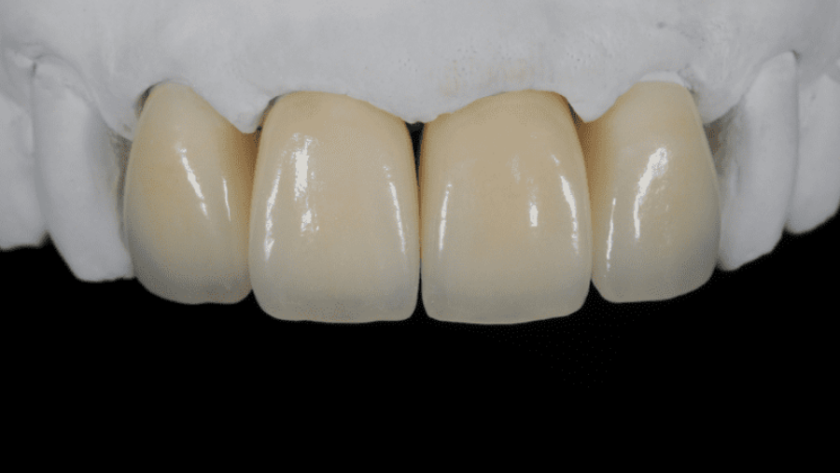
الكثير من الأشخاص لا يعلمون ما هو كروان الاسنان وفي ماذا يتم استخدامه وما فائدته، ونحن في هذا المقال سوف نقوم بذكر كل ما يتعلق بكروان الاسنان.
أضرار تلبيس الأسنان
تيجان للاسنان
العديد من الناس لا يعرفون ما هي أضرار تلبيس الأسنان؛ حيث إنها تشمل العديد من الأضرار، وأهمها ما يلي:
دائمًا ما تتطلب
نحت الأسنان…
يُفقد الضرس لأسبابٍ متعددة وإن لم يُعوَّض ستتفاقم المشكلة، والحل في تركيب ضرس صناعي كبديل الأصلي بعد الخلع. هُنا نقدم لك المعلومات الكاملة عن تركيبات الأسنان بأنواعها المختلفة ونشرح لك أهمية تركيب الضرس بعد الخلع، اقرأ معنا.
لماذا يلجأ الطبيب لـ تركيب ضرس صناعي بعد الخلع؟
تركيب الضرس بعد الخلع
استبدال الضرس المفقود أو المكسور أمرٌ…
الأسنان الأمامية أو القواطع لها دور أساسي في تكوين الابتسامة الجذابة، نظرًا لأنها الأكثر وضوحًا، وعندما تنكسر تلك الأسنان لسببٍ أو لآخر، يُصبح تركيب الزيركون للاسنان الامامية هو الحل المثالي لإصلاح المشكلة. فمتى يحتاج الفرد إلى تركيب زيركون للاسنان الأمامية؟ وبمَ تتميز تركيبات الزيركون؟ وما هي عيوبها؟ وما هو الفرق بينها وبين خامات تركيبات الأسنان…
طربوش الاسنان من أكثر التركيبات فعّالية في إصلاح تشققات الضروس وحمايتها من الكسر بعد علاج الجذور (حشو العصب)، إضافةً إلى دوره الفعال في توحيد لون الأسنان. فيما يلي نقدم لك كل ما يختص بـ طربوش الاسنان، وأنواعه، وأسباب تركيبه.
ما هو طربوش الاسنان؟
تركيب طربوش الاسنان
طربوش أو كراون الاسنان هو غطاء يُصمم خصيصًا على شكل…
قد يؤدي إهمال تنظيف الأسنان إلى خسارتها، لذا نجد الكثيرين ممن لا يزالوا في مقتبل العمر يعانون تسوس الأسنان الذي يؤدي -في الحالات المتقدمة- إلى تلف السن. تُعالج مشكلات الأسنان من هذا النوع عن طريق إزالة التسوس المتسبب في تلف السن وكسره، ومن ثمَّ تركيب تيجان أسنان صناعية تعرف باسم \"طربوش الأسنان\". لكن هل طربوش…
في العديد من الحالات قد تكون هناك حاجة إلى إجراء تركيبات الأسنان، ولكن ما هي مشاكل تركيبات الأسنان الثابتة تحديداً؟ وهل تحدث تلك المشاكل في كل الحالات؟ وما هي طرق الوقاية منها؟ إذا كنتم تريدون معرفة إجابات تلك التساؤلات أعزائي القراء، تابعوا معنا هذا المقال.
ما هي تركيبات الأسنان؟
تركيبات الأسنان هي عبارة عن إجراءات…
هل فكرتم من قبل في تركيب تلبيسات الاسنان للحصول على حل جمالي وعلاجي في نفس الوقت لبعض مشكلات الأسنان أعزائي القراء؟ هل لديكم تساؤلات مختلفة حول هذا النوع من التركيبات؟ إذاً تابعوا معنا هذا المقال الذي سنتحدث فيه حول كل ما يخص تلبيس الأسنان من معلومات هامة.
ما هي تلبيسات الاسنان؟
تلبيسات الاسنان و أنواعها…
يوصي أطباء الأسنان مرضاهم باتباع نظام الاكل بعد تركيب الطربوش، لا سيما خلال اليوم الأول بعد تركيبه من أجل الحفاظ على الكراون والسّن الأصلي كذلك.
ما هو شكل طربوش الاسنان؟ وكيف يُركبه الأطباء للمرضى؟
طربوش الأسنان هو غطاء أبيض اللون مصنوع من مواد صلبة، ويُستخدم لتغطية الضروس بعد إجراء حشو العصب بغرض الحفاظ على الضرس…
واحد من أهم وأشهر أنواع التركيبات هو طربوش الأسنان، فحالات كثيرة جداً يكون ضمن خطة علاجها من مشكلات مختلفة تركيب طربوش، ولكن ماذا عن بدائل طربوش الأسنان التي من الممكن أن تصلح في بعض الحالات؟ وهل الطربوش أفضل أم البديل؟ وما فوائد طربوش الأسنان في الأصل؟ كل هذا وأكثر نتعرف عليه في هذا المقال أعزائي…
مرة على الأقل من بين بضعة زيارات قليلة إلى طبيب الأسنان في الغالب ستسمع كلمة طربوش أو أنك تحتاج إلى طربوش، وعندها ستجد نفسك تتساءل تلقائياً عن انواع طربوش الاسنان التي يمكن تركيبها، وما المميزات والعيوب المتعلقة بكل نوع، ولماذا يتم تركيب الطربوش من الأساس، وفي مقالنا اليوم سوف نجيبك عن تلك التساؤلات، فتابع معنا.…
