هل تراودكم الرغبة في الحصول على هوليود سمايل أو ابتسامة هوليوود (سمايل هوليود) كما يسميها البعض، تلك الابتسامة التي يتمتع بها المشاهير الذين نرى صورهم يومياً؟ هل لديكم تساؤلات حول كيفية عمل هذه الابتسامة الجذابة التي قد يراها البعض أقرب للمثالية؟ إذاً تابعوا معنا هذا المقال أعزائي القراء لنقدم لكم كل ما تحتاجون معرفته عن…
هل تعلمون أعزائي القراء ما هو إجراء برد الاسنان؟ هل سمعتم عنه من قبل وتريدون معرفة الحالات التي يمكن أن تقوم به؟ وما هي مميزاته وفوائده وأيضاً أضراره أو آثاره الجانبية؟ ما هي طريقة برد الاسنان؟ ما هو شكل الأسنان بعد البرد؟ هل برد الأسنان مؤلم؟ هل هناك إجراء بعد بديل برد الأسنان؟ …
هل تعانون من مشكلة اصفرار الاسنان؟ هل تزعجكم التغيرات الواضحة في لون أسنانكم عن الطبيعي؟ هل تبحثون عن طرق معالجة اصفرار الاسنان والتخلص منها؟ إذاً تابعوا معنا أعزائي القراء هذا المقال والذي سوف نتحدث فيه عن اسباب اصفرار الاسنان وعلاجها ،وأيضاً نصائح هامة للوقاية .
ما هو اصفرار الاسنان أو تصبغ الأسنان؟
يُطلق عليه تصبغ…
هل تعرضتم من قبل أعزائي القراء إلى حدوث كسر في أحد الأسنان؟ إن كسر الاسنان من المشكلات التي قد نكون معرضين جميعاً لها، وقد يكون سبب تكسر الاسنان مختلف، ولكن عندما يحدث تكسر الأسنان فمن المهم للغاية أن نتعرف على كيفية التعامل معه وعلاجه، ونحن اليوم سنتعرف على اسباب تكسر الاسنان وأعراضه وأنواعه وأيضاً كيفية…
هل تعاني من تسوس السن الامامي؟ هل تبحث عن طريقة علاج تسوس الأسنان الأمامية من الجذور؟ لا شك أن الأسنان هي مرآة الوجه بالكامل، والابتسامة هي أول ما يلفت النظر للإنسان من الوهلة الأولى، ولكن قد يسبب تسوس الاسنان الامامية العديد من المشكلات المزعجة للشخص المصاب به، ولذلك فإننا اليوم سنتحدث عن تسوس الاسنان الامامية…
من منا لا يريد الحصول على أسنان متناسقة ولامعة وذات مظهر صحي وجميل؟ بالطبع تعد فكرة تجميل الاسنان والحصول على الشكل المميز باسنان جميلة من الأحلام التي تراود أغلبنا، فلا شك أن ابتسامتنا تُمثل جزءًا رئيسيًا من جمالنا، ولسوء الحظ قد تُصاب ابتساماتنا بعيوبٍ مزعجة مثل التسوس والاصفرار والاعوجاج. إلخ والتي كانت إلى وقت قريب…
هل تعاني من اصفرار أو تغير لون أسنانك؟ هل تسبب هذه المشكلة الإزعاج والإحراج لك؟ هل تتملكك الحيرة حول اسباب اصفرار الاسنان ذلك الذي تعاني منه؟ إذاً تابع معنا هذا المقال عزيزي القارئ لنتعرف على الأسباب المختلفة لهذا المشكلة بالتفصيل وأيضاً أفضل علاج لها.
ما هو اصفرار الأسنان؟
انّ اصفرار الأسنان شيء مزعج للجميع، إذ…
تضفي الأسنان على الفم مظهرًا جذابّا وابتسامة خلابة، وهو ما توفره التقنيات التجميلية الحديثة، مثل: الفينير واللومينير، كما أنها تحمي الأسنان من التلف والتآكل.. لكن ما الفرق بين الفينير واللومينير؟ هذا ما نجيب عليه خلال المقالة التالية.
ما أهم الفروقات بين الفينير واللومينير؟
الفرق بين الفينير واللومينير
لا خلاف في أن كلتا التقنيتين تمنحنان الأسنان بياضًا…
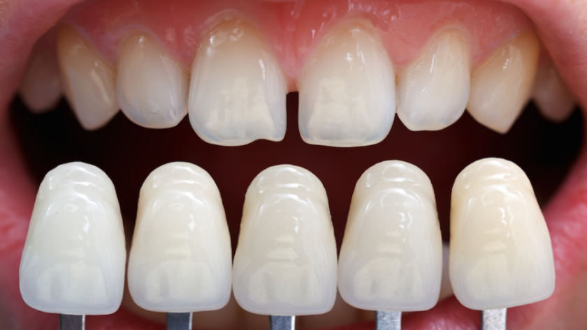
في زمن \"صور السيلفي\" المنتشرة في مختلف منصات التواصل الإجتماعي، فإن الإبتسامة المشرقة الجذابة هي أول ما تقع عليها العين. ويحاول الكثيرون الوصول إلى أسرع طريقة لتبييض الأسنان الصفراء من خلال طرق تبييض الأسنان في العيادة أو بالطرق المنزلية. ولكن هل تعلم أن هناك دليل لدرجات تبييض الأسنان أو ما يسمى Shade guide يستدل به…
نتخبط بين مفاهيم تجميل الاسنان، هل هي عمليات تجميلية بالفعل؟ أم تدخلات طبية بسيطة تُساعد الجميع في الحصول على ابتسامة ساحرة وبرّاقة؟
لا شك أن ابتسامتنا تُمثل جزءًا رئيسيًا من جمالنا، ولسوء الحظ قد تُصاب ابتساماتنا بعيوبٍ مزعجة مثل التسوس والاصفرار والاعوجاج..إلخ.
أمّا بعد التقدم في عالم طب الأسنان، فقد أُتيحت العديد من الخيارات التجميلية…
من منّا لا يحلم بأسنانٍ بيضاء كاللؤلؤ؟ فهل الحل المثالي هو جلسات تبييض الاسنان عند الطبيب؟ في هذا المقال نضع بين يديك الملف الشامل لدور تبييض الأسنان في التخلص من الاسنان الصفراء والحصول على ابتسامة مُشرقة، بالإضافة إلى إجابة الأسئلة الشائعة حول ذلك الموضوع، تابع معنا.
نبذة عن تبييض الأسنان
تبييض الاسنان
يُعد تبييض الاسنان من…
هل فكرتم من قبل في تجميل أسنانكم باستخدام الفينير؟ هل تريدون معرفة انواع الفينير المختلفة التي من الممكن الاختيار من بينها؟ وما هو الفرق بين كل نوع وآخر؟ وكيف يمكن الاستقرار على انواع الفينير المناسبة لكل حالة؟ تابعوا معنا هذا المقال أعزائي القراء لنجيب عليكم بالتفصيل.
ما هو فينير الأسنان؟
انواع الفينير وفوائده الـ 6…
