Skip to content Skip to sidebar Skip to footer

هل يمكن زراعة اسنان بدون ألم؟ و7 نصائح ذهبية

قد يكون الحصول على أسنان جديدة مزروعة حلاً منقذاً بالنسبة للكثير من الأشخاص الذين فقدوا أسنانهم، فمتي يمكن زراعة اسنان بديلة؟ وما هي شروط هذا الإجراء؟ وما الخطوات التي يتم من خلالها؟ وهل يمكن زراعة الأسنان بدون ألم؟ تابعوا هذا المقال أعزائي القراء الذي سنتعرف فيه على إجابات هذه التساؤلات وأكثر.

ما معنى زراعة اسنان؟

هل يمكن زراعة اسنان بدون ألم؟ و7 نصائح ذهبية
هل يمكن زراعة اسنان بدون ألم؟ و7 نصائح ذهبية

تعتبر عملية زراعة الأسنان هي الإجراء التعويضي الأول في عالم طب الأسنان على الإطلاق، وهي تعني زرع أسنان جديدة تماماً لتعويض أسنان أصلية تم فقدانها، وعملية الزراعة تلك تكون عبارة عن مرحلتين وهما زراعة غرسة الأسنان أو زرعة الأسنان التي تعمل عمل الجذر بداخل عظام الفك، وهي غرسة معدنية من التيتانيوم، وبعد ذلك مرحلة وضع تاج السن الذي يكون بديلاً للسن أو الضرس الطبيعي ويشبهه في الشكل والوظيفة أيضاً.

احجز موعد

الحالات التي تحتاج زراعة اسنان

قد يكون زرع الأسنان خياراً جيداً بالنسبة للعديد من الحالات التي يعتبر هذا الإجراء فعالاً لها، ومن أهم تلك الحالات ما يلي:

  • الأشخاص الذين فقدوا سن أو أكثر نتيجة التقدم الطبيعي في العمر.
  • الحالات التي فقدت أسنانها بسبب حادث أو إصابة.
  • الحالات التي تريد إجراء طبي ذو نتائج طويلة الأجل أو دائمة.
  • الحالات التي لا تناسبها خيارات أخرى مثل أطقم الأسنان.
  • الحالات التي تعاني من مشكلات في الهضم نتيجة عدم القدرة على المضغ الجيد بسبب فقدان الأسنان.
  • الحالات التي يؤثر فقدان الأسنان على وظيفة النطق الصحيح للكلام لديها.
زراعة اسنان
حالات فقدان أسنان بعد زراعة الأسنان

شروط زراعة اسنان

من المهم للأشخاص الذين يريدون الإقدام على خطوة زراعة الأسنان توافر بعض المواصفات والشروط الهامة، ويمكن أهمية ذلك في التأكد من أن الحالة مناسبة للإجراء بدون مخاطر، وأيضاً في رفع درجة نجاح النتائج، ومن أهم هذه الشروط ما يلي:

  • ألا تعاني الحالة من مرض خطير أو مشكلة صحية تمنعها من الخضوع لإجراء الزراعة مثل سيولة الدم المفرطة أو اضطرابات النزيف.
  • أن تكون حالة عظام الفك جيدة وتحتمل وضع الغرسة بها، وفي بعض الحالات قد تكون هناك حاجة إلى جراحة زراعة عظام الفك.
  • أن تكون أنسجة اللثة والفك صحية ولا تعاني من التهتك أو الأمراض الالتهابية المزمنة.
  • من المهم التوقف عن التدخين قبل الزراعة في حين كانت الحالة مدخنة.
  • أن يكون هناك استعداد كامل للالتزام بالخطة العلاجية طوال مدة زراعة الأسنان.

استعدادات هامة قبل زراعة اسنان

قبل الخضوع لإجراء زراعة الأسنان تكون هناك بعض الاستعدادات والتجهيزات الهامة لزيادة نسبة نجاح النتائج والوقاية من مشاكل زراعة الأسنان التي يتخوف منها البعض، وذلك كما يلي:

  • يتم معرفة تفاصيل التاريخ الطبي للمريض جيداً والتاريخ الدوائي أيضاً.
  • يقوم الطبيب بالكشف الدقيق على الحالة لتحديد متطلباتها جيداً.
  • يتم إجراء الأشعة السينية على الفم.
  • أخذ القياسات اللازمة ومن الممكن إجراء طباعة للفم والأسنان.
  • يتم تصوير الفكين لتوثيق الملف الخاص بالحالة وأيضاً لتقييم نتائج زراعة الأسنان بعد ذلك.
  • الاتفاق على الخطة العلاجية الشاملة للمريض بكل تفاصيلها.
  • يعطي الطبيب كل التعليمات اللازمة الخاصة بالطعام والشراب والأدوية والنظام الغذائي وغيرها.
زراعة اسنان
ما قبل زراعة الأسنان

كيفية زراعة اسنان جديدة

بالنسبة إلى إجراء زراعة الأسنان نفسه، فإنه يتم من خلال الخطوات والمراحل التالية:

  • في يوم الإجراء يقوم الطبيب بتخدير المريض بالمخدر الموضعي.
  • يقوم الطبيب بتنظيف المنطقة جيداً وإزالة أي بقايا تالفة للسن القديم وأي أنسجة، ويقوم بتطهير المكان وتعقيمه.
  • يتم زرع الغرسة المصنوعة من التيتانيوم بداخل عظم الفك.
  • بعد ذلك تكون هناك فترة من الانتظار تتراوح من عدة أسابيع لعدة أشهر، وتلزم هذه الفترة لالتئام الزرعة بعظم الفك جيداً.
  • في زيارة أخرى بعد فترة يقوم الطبيب بوضع الدعامة التي تصل الغرسة بتاج الأسنان ويتم أخذ الطباعة لتجهيز التاج.
  • في النهاية يتم لصق تاج الأسنان النهائي ويصبح الشخص الآن يمتلك سناً كاملاً جديداً يحاكي السن الطبيعي.
  • في بعض الحالات قد توضع الدعامة والتاج في نفس الزيارة إذا كان التاج مجهزاً من قبل.

احجز موعد

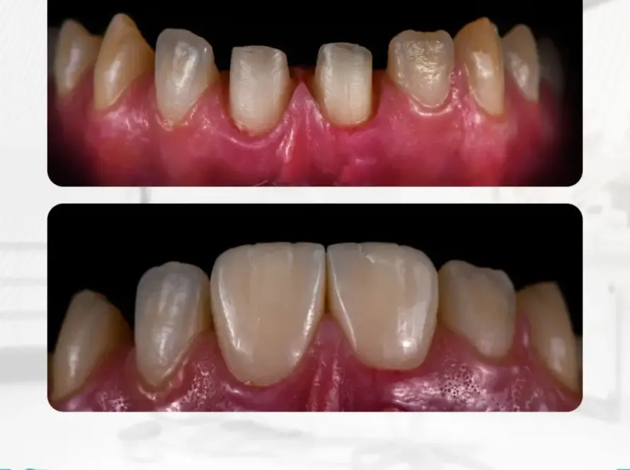
زراعة اسنان قبل وبعد

زراعة اسنان بدون ألم

لأن كلمة “بدون ألم” أصبحت ملازمة الآن للكثير من الإجراءات والعمليات في الإعلانات التي نراها في الكثير من الأماكن، ولأن الألم وخاصة ألم الأسنان هو آخر ما يرغب أي إنسان في الشعور به، فمن الطبيعي أن نجد التساؤل عن زراعة الأسنان بدون ألم من أكثر التساؤلات شيوعاً، وعليه عزيزي القارئ نجيب بأنه بالفعل عملية زراعة الأسنان نفسها تكون بدون ألم نظراً للتخدير الموضعي الذي يتم اختيار نوعه ودرجته بدقة لتتناسب مع الإجراء، ولكن من الممكن الشعور ببعض ألم زراعة الأسنان بعد انتهاء الإجراء وبعد زوال مفعول التخدير، ويتم التعامل معه من خلال مسكنات الألم لتخفيفه.

نصائح بعد زراعة الأسنان

حتى يتم الحفاظ على الأسنان المزروعة لأطول فترة ممكنة، وحتى تتم فترة التعافي بعد زراعة الأسنان بسلام وبأقل درجة من الانزعاج، نقدم لكم أعزائي القراء بعض النصائح الهامة للغاية:

  1. تناول مسكنات الألم لتخفيفه خاصة في الأيام التالية للزراعة مباشرة.
  2. تناول المضادات الحيوية بالجرعة التي وصفها الطبيب بدقة للوقاية من العدوى.
  3. عدم تناول الأطعمة الصلبة أو الساخنة في الأيام التالية للزراعة.
  4. الحفاظ على نظافة الفم والأسنان لمنع تراكم البكتيريا.
  5. عدم قضم الأظافر أو فتح العبوات باستخدام الأسنان.
  6. تناول الأطعمة الصحية قدر الإمكان خاصة خلال التعافي، والحرص على أن تكون غنية بالفيتامينات والكالسيوم.
  7. الابتعاد عن التدخين.

أسعار زراعة اسنان ثابتة

تختلف تكلفة زراعة الأسنان باختلاف عوامل عديدة كما هو الحال في الكثير من إجراءات طب الأسنان، منها نوع الزرعة وعدد الأسنان التي سيتم زراعتها، وهل ستكون هناك إجراءات أخرى إلى جانب الزراعة أم لا وغيرها من العوامل، وفي مراكز Rident للأسنان يتم تحديد التكلفة والأسعار لكل حالة بعد الكشف حسب نوع الغرسة.

والآن أعزائي القراء، نتمنى أن نكون قد قدمنا لكم المعلومات الهامة حول زراعة اسنان جديدة وخطواتها وشروطها والحالات التي قد تحتاجها وتكلفتها، وإذا كانت لديكم استفسارات أخرى أو تريدون حجز موعد، يمكنكم أن تتواصلوا معنا.

Leave a comment

https://nds.id/regex-youtube-mikrotik/ toto slot situs toto sumseltoto slot hoki sumseltoto sumseltoto sumseltoto sumseltoto sumseltoto https://aprendercrianca.com.br/nao-e-teimosia-e-rigidez-cognitiva/ toto toto togel toto sumseltoto